- Graduado em Odontologia pela Universidade Federal de Santa Maria (2006)
- Especialista em Endodontia pela Uningá – Santa Maria (2009)
- Mestre em Ciências Odontológicas pela Universidade Federal de Santa Maria (2010)
- Doutor em Odontologia pela Universidade Federal do Rio Grande do Sul (2015)
- Professor Adjunto de Endodontia da Universidade Federal do Rio Grande do Sul
- Professor do Curso de Especialização em Endodontia da Universidade Federal do Rio Grande do Sul
- Professor do Programa de Pós-Graduação em Odontologia (Mestrado e Doutorado) da Universidade Federal do Rio Grande do Sul
- Mais de 80 trabalhos científicos publicados em periódicos nacionais e internacionais

SOBRE
Dr. Ricardo Abreu
Procedimentos e Tecnologias
Utilizamos as tecnologias mais atuais e avançadas proporcionando tratamentos de excelência com agilidade e conforto

Microscópio Clínico Operatório
A utilização de microscópio clínico operatório auxilia no diagnóstico e tratamento dos canais radiculares uma vez que possibilita a magnificação do campo operatório.

Endodontia Mecanizada
A instrumentação mecanizada utilizando motores elétrico e instrumentos de Ni-Ti revolucionou a endodontia, tornando o tratamento mais rápido e previsível.

Localizador foraminal eletrônico
Este aparelho possibilita a precisa determinação do comprimento de trabalho eliminando a necessidade de tomadas radiográficas para esta finalidade.

Ultrassom
Um dos aparelhos mais versáteis hoje na Endodontia, possibilita o mínimo desgaste de estrutura dental (desgaste seletivo) desde a etapa de acesso aos canais radiculares, localização de condutos, remoção de instrumentos fraturados, etc.

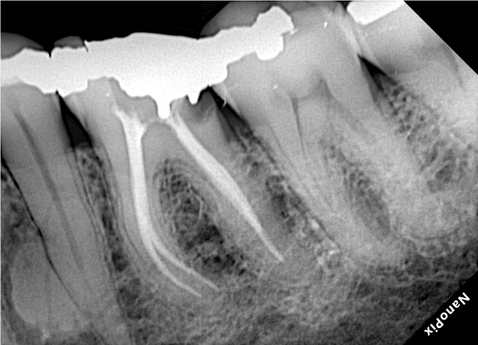
Raio X portátil e sistema de captura de imagem
Os aparelhos de raio X portáteis possibilitam ergonomia e praticidade na execução de radiografias intrabucais. Associadas ao sensor digital possibilitam menor tempo de exposição ao paciente e profissional.

Retratamento Endodôntico
Em algumas situações é necessária a reintervenção endodôntica, ou seja, é preciso realizar um novo tratamento de canal.

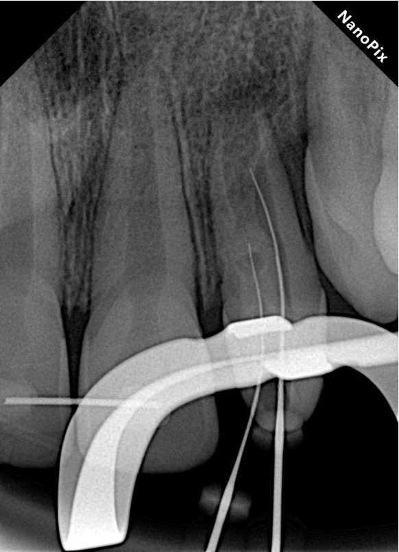
Remoção de instrumentos fraturados
Durante o tratamento endodôntico pode acontecer a fratura, no interior do canal, dos finos instrumentos que usamos para remover a polpa e preparar os canais. Sua remoção é realizada com o uso de aparelhos específicos como o ultrassom e o microscópio clínico operatório.

Cirurgia Endodôntica
Em determinadas situações em que o retratamento endodôntico não foi bem-sucedido ou que não foi possível ser realizado, a cirurgia endodôntica surge como uma alternativa para a manutenção do dente em função. Consiste no acesso cirúrgico à região apical da raiz (ponta da raiz), curetagem do tecido inflamatório e selamento do canal a partir da raiz.

Endodontia Regenerativa
Uma modalidade relativamente recente para tratamentos de dentes com rizogênese incompleta. Mesmo aqueles dentes que já apresentam necrose pulpar e lesão periapical podem ser tratados através da revascularização pulpar, onde o canal radicular é preenchido com coágulo sanguíneo a fim de induzir a continuação da formação radicular tornando o dente mais resistente às cargas oclusais.

Preparo para cimentação de Retentor Intrarradicular
Quando temos ampla destruição da coroa dentária, pode ser necessária a instalação de um retentor intrarradicular (pino de fibra ou núcleo metálico fundido). Nestes casos, o canal deve ser tratado e parte dele preparado para receber o retentor. Ao término do tratamento endodôntico, quando solicitado pelo indicador, realizamos este procedimento.

Tratamento Endodôntico convencional em 1 ou mais sessões
É a área da Odontologia que visa prevenir, diagnosticar e tratar as alterações da polpa dental e dos tecidos periapicais.

Endodontia Guiada
Dentes que foram traumatizados podem apresentar mineralização total ou parcial do canal radicular. Esta mineralização pode dificultar ou até mesmo impedir o tratamento endodôntico quando necessário. A Endodontia Guiada utiliza uma guia prototipada, com base em imagens de tomografia computadorizada, que irá nortear o desgaste dentário até a localização do canal radicular.
Estrutura
Entre em contato e agende sua consulta
Localização
Para facilitar seu acesso o Dr. Ricardo realiza seus atendimentos na Clínica Allegrato
Endereço:
R. Prof. Langendonck – 57 sala 601
Petrópolis, Porto Alegre – RS, Brasil




